The importance of carbohydrate for endurance performance was first established in the early 20th century. One hundred years on, Andrew Hamilton explains why, for most athletes, for most of the time, carbohydrate is still pivotal for enhancing performance
The study of carbohydrate metabolism in relation to the field of sport and exercise is an area of investigation that is now over 100 years old. It was almost a century ago, when researchers first demonstrated that fatigue occurs earlier when subjects consume a low-carbohydrate diet (as compared with a high-carbohydrate diet) in the days preceding an exercise
(1). Shortly afterwards, researchers also observed that runners who completed the 1923 Boston marathon exhibited hypoglycaemia (low blood sugar) immediately post-exercise, thus suggesting that low carbohydrate availability may be linked to fatigue
(2).
The fundamental importance of carbohydrate
The very early studies (above) provided the initial evidence that carbohydrate was an important fuel source for sustaining exercise performance. However, it wasn’t until the development of muscle biopsy techniques (see figure 1) in the late 1960s that sports science researchers were able to fully grasp the fundamental importance of carbohydrate for endurance exercise performance. In a series of studies by Scandinavian researchers, scientists discovered three key principles, upon which our current-day understanding is built upon
(3-6). These key principles are as follows:
- Muscle glycogen (stored muscle carbohydrate – the body’s 5-star fuel for high-intensity exercise performance) is depleted during exercise in an intensity dependent manner (see figure 2).
- High-carbohydrate diets increase muscle glycogen storage and subsequently improve exercise capacity.
- Depleting muscle glycogen with prior exercise then consuming a high-carbohydrate diet can boost muscle glycogen storage above and beyond normal storage levels.
A half a century later, these three principles
still serve as the foundations for the current recommendations for modern-day sports nutrition practice
(7).
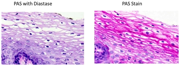
Figures 1A and 1B: Muscle biopsy for muscle glycogen measurement
A: Muscle glycogen (stored muscle carbohydrate) is vital for endurance exercise performance. The most common method of establishing levels of muscle glycogen is to insert a hollow needle into the muscle and withdraw a small muscle sample. The above shows a disposable core biopsy instrument being used on an athlete’s vastus lateralis (outer thigh) muscle.
B: The withdrawn sample is then treated with a stain (above right). The presence and amount of glycogen is then revealed by adding an enzyme (diastase), which then reveals the presence of glycogen as white areas (above left). More recently, a technique known as ‘magnetic resonance spectroscopy’ (MRS) has been developed, which allows muscle glycogen levels to be determined simply by scanning with a machine. The downside is that MRS scanners are costly and not portable, which hampers their use in the field.
Figure 2: Exercise intensity and glycogen depletion*
As the percentage of maximum sustainable intensity rises, the time taken to deplete glycogen stores diminishes. At 64% maximum, glycogen levels have dropped to 20mmol/kg after 105 minutes. At 83% of maximum, this takes just 60 minutes, while at 120% of maximum, it takes a mere 20 minutes. *Adapted from Jeukendrup and Gleeson 2004; Sport Nutrition: ‘An introduction to energy production and performance’.
Refining the fundamentals
The understanding of the relationship between carbohydrate and endurance performance continued to develop throughout the 1980s and 1990s with the consistent finding that carbohydrate feeding during exercise also improved exercise performance and capacity. In particular, researchers were able to demonstrate that
(8-16):
- Carbohydrate taken (as glucose) during exercise can be oxidised at a rate of roughly 1 gram (g) per minute, supplying approximately 250kcals per hour).
- This carbohydrate can be supplied and absorbed well by drinking 600-1200mls of a solution of 4-8% (40-80g per litre of water) glucose solution per hour.
- Ingested carbohydrate becomes the predominant source of carbohydrate energy late in a bout of prolonged exercise, and can delay the onset of fatigue during prolonged cycling and running as well as improving power output.
As a result, millions of 1990s runners, cyclists and other endurance athletes found that by applying these recommendations, they were able to go further and faster. They also began to understand the importance of pre-race fuelling with carbohydrate (carbohydrate loading), and post race carbohydrate for recovery.
The next step forward came in the mid 2000s, when UK researchers discovered that a combined glucose and fructose formulation (so-called multiple transportable carbohydrate drinks) resulted in higher oxidation rates of ingested carbohydrate, especially in the later stages of exercise
(17). Subsequent studies also showed that (compared to a glucose-only drink), a glucose/fructose drink provided the following advantages
(18,19):
- More energy produced from consumed carbohydrate (in drink) and less from stored muscle carbohydrate, thereby preserving muscle glycogen stores;
- Better hydration due to increased amounts of water absorbed from the stomach;
- A reduced perception of stomach fullness after consuming the same volumes of drink;
- Lower perceived rates of exertion in the later stages exercise.
These benefits weren’t just theoretical either. Research soon showed that compared to a glucose-only drink, ingestion of the glucose/fructose drink resulted in an 8% quicker time to completion of a 1-hour cycling time trial compared with a glucose-only drink (see figure 3)
(20).
Putting together all of the early and later carbohydrate research, scientists have been able to make general recommendations on carbohydrate feeding for endurance athletes seeking maximum performance on the move (see figure 4). Combined with a high-carbohydrate diet, this approach is proven when maximum performance on the day is a must!
Figure 3: Cycling performance – glucose vs. glucose & fructose
Times and average power outputs shown for 40km time trial following a 2-hour easy/moderate intensity ride; Red bar = glucose/fructose drink supplying 90 grams per hour; yellow bar – glucose-only drink supplying 90 grams of carbohydrate per hour. Placebo = flavoured drink supplying 0 grams of carbohydrate per hour.
Figure 4: Current carbohydrate feeding recommendations for maximising endurance performance
Fuel for work required
From nearly a century of previous research, it’s clear that carbohydrate is king when it comes to performance nutrition. However, if this is true, why over the past decade have a number of feeding strategies based around carbohydrate restriction emerged (eg keto, train low/race high and time restriction diets? Wouldn’t it be the case that any strategies that reduce carbohydrate availability are undesirable? The answer is not necessarily. This is because research suggests that an approach recognising the fundamental importance of carbohydrate, but based on a ‘fuel for work required’, can in some circumstances provide some additional benefits.
To understand why this is the case, we need to consider that the idea of carbohydrate as little more than a ‘fuel store’ is over simplistic. Thanks to the recent use of more sophisticated molecular biology techniques, we now know that stored muscle glycogen is much more than just a fuel store; it also acts as a regulator of many key cell-signalling pathways in the body, including
(21,22):
- The types of fuel used during exercise (ie the balance of fat burning vs. CARBOHYDRATE burning).
- The breakdown and re-synthesis of muscle proteins.
- The way that the hormone insulin acts in the body.
- The way genes in muscles are affected by exercise (ie the degree and type of training adaptations that take place.
Indeed, it turns out the 500g or so of stored muscle glycogen in the human body can exert profound effects on multiple tissues, organs and systems, which can have considerable knock-on effects on human health and performance!
Thrifty genes
Our genetic makeup also plays a role in determining the best carbohydrate-feeding strategy for maximising endurance performance. Research suggests that because humans evolved as hunter-gatherers in an environment where carbohydrate was not freely available, our ancestors made use of so-called ‘thrifty’ genes in the muscles. By improving fat metabolism and prolonging endurance, these genes would have enabled our forebears to hunt, run and survive - without the need to have muscles crammed full of carbohydrate (glycogen).
Fast forward to the 21
st century and of course, we still have these thrifty genes in our muscles; one hundred thousand years might seem a long time for our genes to evolve, but in evolutionary terms, it’s a mere blip! This explains the notion that by training regularly with low muscle glycogen and/or using a carbohydrate -restricted diet, we can enhance the activity of these thrifty genes and maximise fat burning for energy, prolonging endurance.
In the ‘fuel for work required’ approach to carbohydrate feeding, the mantra of
‘ensuring plenty of carbohydrate at all times’ is replaced with one where
‘carbohydrate intake is adjusted to help achieve a specific outcome’. Examples of this might include maximising fat oxidation as part of a fat-reduction phase, or to train the body to perform in a low-carbohydrate state in order to prolong endurance for a long-distance event etc, or to help maximise training adaptations. The obvious question that follows is how and when can your carbohydrate intake be restricted or manipulated, and which methods are likely to produce the best results?
Working out your carbohydrate-feeding strategy
There are a number of ways in which you can tailor/restrict your carbohydrate intake to help achieve a specific training outcome, and these are detailed in table 1, which follows. However, it’s important to bear in mind that while there are potential gains to be had over and above a ‘carbohydrate at all times approach’, there are potential drawbacks when restricting your carbohydrate intake during training too – in particular, the risk of illness and burnout (see figure 5).
Figure 5: Potential drawbacks of low-carbohydrate intake when training: Although the theory is appealing, training in a glycogen-depleted state has drawbacks, including:
Don’t forget also that adequate muscle glycogen is essential for bouts of intense training. As regular Sports Performance Bulletin readers will know, some regular intense training sessions are essential to increase aerobic power and improve endurance performance. But studies have shown that restricting carbohydrate CHO availability can impair the ability to train intensely (because you simply feel too tired)
(23,24). Restricting your carbohydrate intake over a prolonged period of time can therefore actually lead to a detraining effect and loss of fitness – the last thing you want from any sports nutrition strategy!
There’s another, very important caveat to add at this point. When it comes to
race performance, there’s no evidence that competing in anything other than a fully carbohydrate-loaded state is advantageous. Or to put it another way, arriving at the start line without fully glycogen loaded muscles will almost certainly put you at a disadvantage. Research also shows that while restricting your carbohydrate intake in run up to a race event might increase your fat-burning ability during that event, it can also impair your ability to use carbohydrate efficiently as fuel, leading to
worse performance on the day
(25). For these reasons, all endurance athletes should always obey the following three golden rules:
1. Terminate any carbohydrate restriction strategies at three days before an important event.
2. Never arrive at the start line without ensuring you have fully replenished your muscle glycogen reserves (ie consumed at high-carbohydrate diet for at least three days beforehand).
3. Always follow the carbohydrate feeding guidelines during your event as outlined in figure 4.
Carbohydrate tailoring/restriction approaches
There are many of different ways of tailoring or restricting your carbohydrate intake at certain points in the training cycle. As table 1 shows, some are easier to implement than others and offer less drawbacks. None of these approaches should be used as a ‘permanent strategy; the idea is that you use them for short periods of time to achieve specific goals – eg body fat reduction, improved training adaptation etc.
Table 1
Figure 6: Time-restricted feeding strategy
Meals are taken within a single 6 to 8-hour period within each 24 hours. No calories are consumed in the remaining 16 to 18 hours though calorie-free drinks are permitted.
Further practical advice
Whether your goal is to lose body fat, improve your training adaptation or both, here are some guidelines for implementing any carbohydrate-restricted periods:
- When starting off with carbohydrate restriction, only use these strategies for just one or (at most) two days a week.
- Expect to feel a greater perception of effort and more fatigue during exercise when using carbohydrate restriction – even if your training intensity is low. Over time, this should ease somewhat.
- A useful suggestion for those trying time-restricted feeding is to have a weekend lie in, then when you get up, go for an hour or two’s low-intensity ride/run/hike etc on an empty stomach. The low-intensity exercise will enhance the fat-burning effect, and by the time you get back and are showered and changed, it’ll soon be time for your 1pm meal!
- Your diet quality very important when using any method of carbohydrate restriction. It’s vital that your regular day-to-day diet contains plenty of fruits, vegetables, good-quality proteins such as lean fish and meat, nuts and seeds etc. The dietary carbohydrate you do consume should be of the unrefined whole grain variety, while your intake of sugar and sugary foods, junk and processed foods should be kept to an absolute minimum.
- Always consume plenty of water during any period of carbohydrate restriction.
- Never introduce any mode of carbohydrate restriction during a period of heavy training or competition. At these times, your number-one priority is optimal fuelling and recovery.
- Be aware that different individuals can have a very different response to carbohydrate restriction – especially when switching to a keto diet. For some, the side effects such as poor energy and mental function, sleep issues and nausea may be severe enough to make it untenable, while others may adapt with relative ease.
- When the goals of your training session are to complete the highest workload possible over more prolonged durations, you should you not restrict carbohydrate intake. Adequate carbohydrate should be provided in the 24-hour period prior to and during the specific training session.
- Interval type workouts should not routinely be undertaken during or immediately after a period of carbohydrate restriction. The best type of training to pursue when carbohydrate is restricted are steady-state type training sessions, performed at intensities below the lactate threshold.
- NEVER forget the three golden rules of racing: 1) Terminate any carbohydrate restriction strategies at least three days before an important event. 2) Never arrive at the start line without ensuring you have fully replenished your muscle glycogen reserves. 3) Always follow the carbohydrate feeding guidelines during your event as outlined in figure 4.
- Don’t fall into the mindset of regarding carbohydrate as some kind of foe. When performance matters, carbohydrate still is, and always will be, your best friend!
References
- Biochem. J. 1920, 14, 290–363
- J. Am. Med. Assoc. 1924, 82, 1778–1779
- Acta Physiol. Scand. 1967, 71, 140–150
- Nature 1966, 210, 309–310
- Scand. J. Clin. Lab. Investig. 1966, 18, 16–20
- Acta Physiol. Scand. 1967, 71, 129–139
- Position of the Academy of Nutrition and Dietetics, Dietitians of Canada, and the American College of Sports Medicine: ‘Nutrition and athletic performance’. J. Acad. Nutr. Diet. 2016, 116, 501–528
- Sports Med 1992; 14: 27–42
- Metabolism 1996; 45: 915–921
- Am J Physiol Endocrinol Metab 1999; 276: E672–E683
- Med Sci Sports Ex 1993; 25:42-51
- Int J Sports Med 1994; 15:122-125
- Med Sci Sports Ex 1996; 28: i-vii
- J Athletic Training 2000; 35:212-214
- Int J Sports Nutr 1997; 7:26-38
- Nutrition Reviews 1996; 54: S136-S139
- J Appl Physiol 2004; 96: 1277–1284
- Med. Sci. Sports Exerc. 2004; Vol. 36, No. 9, pp. 1551–1558
- J Appl Physiol 2006; 100:807-816
- Med Sci Sports Exerc. 2008 Feb;40(2):275-81
- Am. J. Physiol. Endocrinol. Metab. 2012, 302, E1343–E1351
- Eur. J. Sport Sci. 2015, 15, 3–12
- J. Appl. Physiol. 2008, 105, 1462–1470
- Med. Sci. Sports Exerc. 2010, 42, 2046–2055
- J. Appl. Physiol. 2010, 109, 126–134